간편 상담

궁금하신 사항을 아래 문의 내용에 입력해주시면
보다 빠르게 전화로 상담을 도와드립니다

이름
연락처
문의내용

서울플란트 심미보철

 Seoul Plant Dental Clinic

자연치아같은 보철치료

심미보철

과거 치아 치료는 기능적인 치료(저작,발음 등의 기능)에 중점을 두었으나
현재의 치아는 아름답게 가꾸어야 할 심미적인 부분으로 분류되고 있습니다.
기능적인 역할은 물론 심미적인 부분을 고려하는 보철치료를 심미보철이라고합니다.


서울플란트치과의 심미보철 치료

  • 올세라믹
  • 라미네이트
  • 지르코니아
    크라운

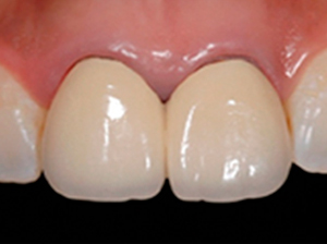
내 치아같은 자연스러움

올세라믹이란?

올세라믹이란 치아를 완전히 감싸 덮어 씌우는 방법으로
치아가 돌출되거나 깨짐, 충치 등으로 인해 심하게 손상된 치아를 가지런하게 만들어 주는 술식입니다.
안에 금속이 들어가지 않아 투명도가 높고 광택이 있어 자연치아와 매우 흡사해서 외모적으로 중요한 앞니에 많이 사용됩니다.

올세라믹, 이런 점이 좋다

  • 우수한
    심미성

    빛을 투과해
    자연치아처럼 자연스러운
    색상 재현

  • 개인취향에
    맞춤

    원하는 치아와 형태,
    모양 색상까지
    맞춤 제작

  • 우수한
    강도

    강도는 물론
    내마모성과 열전도율이
    우수함

  • 생체
    친화적 소재

    매끄러운 도재로
    잇몸과 생체친화성이
    우수함

올세라믹,
이런 분들에게 추천해요!

  • 01

    앞니 파절
    및 손상

  • 02

    치아의
    변색

  • 03

    배열이 안
    좋은 경우

  • 04

    앞니 사이가
    벌어진 경우

  • 05

    치아가 고르지
    못한 경우


내 치아 살리는 최소 삭제

라미네이트란?

치아를 얇게 다듬은 후에 인조손톱 모양의 세라믹으로 새로운 모양과 색의 치아를 만들어
손톱 붙이듯 덧씌우는 시술로 치아의 삭제량이 적으며 심미적인 치아성형술
주로 앞니에 사용하는 경우가 많습니다.

잠깐 라미네이트와
올세라믹의 차이점은?

  • 라미네이트

    치아의 표면(법랑질)을 다듬는 방식
    치아의 형태나 색상변화 가능
  • 올세라믹

    치아의 법랑질에서 상아질까지 삭제
    치아의 크기에서 형태, 색상 모두 변화가능

라미네이트, 이런 점이 좋다

  • 우수한
    심미성

    자연 치아
    색상과 유사하여
    심미적으로 우수

  • 치료삭제
    최소화

    다른 보철
    치료에 비해 치아
    삭제량이 적음

  • 우수한
    강도

    레진보다
    강도 및 마모성이
    우수함

  • 생체
    친화적 소재

    잇몸변색과
    수축이
    없음

라미네이트,
이런 분들에게 추천해요!

  • 01

    치아의
    변색

  • 02

    배열이
    안 좋은 경우

  • 03

    앞니 사이가
    벌어진 경우

  • 04

    치아가 크거나
    작은 경우

  • 05

    깨진
    치아


강하기도하고 자연치아같은

지르코니아크라운이란?

치아를 완전히 덮어 씌우는 보철 시술 방식으로
인조다이아몬드 소재로 되어 강도가 가장 우수한 보철소재이며
자연치아와 구별할 수 없을 정도의 자연스러움으로 심미적으로 우수합니다.

지르코니아 크라운 특징

  • 1
    튼튼하고 반영구적인 크라운
    재질이 단단하고 내구성이 좋아 잘 깨지지 않습니다.
  • 2
    영구적인 미백효과
    자연치아와 비슷한 색을 띄기 때문에 미백효과가 뛰어납니다.
  • 3
    자연치아 보전
    강도가 높아 얇게 제작이 가능하므로 전통적인 크라운 방식에 비해 치아를 덜 깍아 냅니다.
  • 4
    높은 안전성과 낮은 부작용
    금속과 달리 알러지 반응이 없고 열이 쉽게 전도되지 않아 이시림 증상이 적습니다.

지르코니아 크라운
이런 분들에게 좋아요

  • 1

    단기간
    깨끗한 치아 이미지가
    필요하신 경우

  • 2

    세라믹보다 우수한
    강도와 소재를
    원하시는 경우

  • 3

    생체 친화적인
    소재를 원하시는
    경우

PFM 크라운 VS
지르코니아 크라운

PFM 크라운 크라운
종류
지르코니아 크라운
PFM 크라운PFM 크라운 이미지 지르코니아 크라운지르코니아 크라운
금속(열전도율, 알러지 가능성 있음) 안쪽
재료
생체 친화적 재료(알러지 반응 없음)
도자기(약한 강도로 파절 가능성 있음) 겉쪽
재료
지르코니아(금과 유사한 강도로 장기적 사용 가능)
잇몸라인에 금속 비침(낮은 심미성) 심미성 시간이 경과해도 잇몸라인 치아색 유지(높은 심미성)
안의 금속으로 빛 투과 안됨(낮은 투명도)
투과율
자연치아와 유사한 자연스러운 빛 투과(높은 투명도)