간편 상담

궁금하신 사항을 아래 문의 내용에 입력해주시면
보다 빠르게 전화로 상담을 도와드립니다

이름
연락처
문의내용

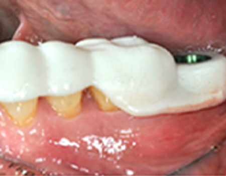
전체 임플란트

 Seoul Plant Dental Clinic

무치악 환자들을 위한

전체 임플란트

치아가 하나도 없는 무치악의 경우 전체 틀니를 하거나 전체임플란트(픽스쳐 8~10)개를 식립하지만
전체 임플란트는 소수(6개)의 임플란트 식립, 연결하여 전체 치아를 수복하는 방법입니다.


전체 임플란트

무치악 환자 시술법

  • 일반틀니
    탈착식으로 뺐다꼇다 하는 보철물

    잇몸뼈가 점차 흡수되어
    영구적으로 사용이 불가능

  • 임플란트 틀니
    2~4개의 임플란트 식립 후 틀니를 고정

    점진적인 뼈 흡수가 진행되어
    임플란트 식립이 불가능한 경우에만 권장

  • 전체 임플란트
    8~10개정도의 임플란트를 식립

    잇몸뼈가 충분한 경우에만
    식립이 가능하고 시술이 고가

  • 전체 임플란트
    6개 정도의 임플란트 식립

    안정성이 높으며
    시술비용이 합리적


전체 임플란트

풀디지털로 정확하게!

디지털 전체 임플란트는 구강스캔 과정부터 디지털로 진행하여 환자분의 상태를 정밀하게 체크하고
네비게이션 임플란트 프로그램으로 디지털하게 작업하여 오차 없이 정확한 위치에 식립할 수 있습니다.

  • 01

    디지털
    스캔으로
    정확한 교합

  • 02

    네비게이션
    임플란트로
    정확한 시술

  • 03

    6개의
    임플란트
    식립

  • 04

    최소
    내원만으로
    완료


디지털 전체
임플란트 시술방법

  • 디지털 스캐너로 구강재현

    디지털 장비를 이용하여
    치아의 현재 상태를 정확하게 파악

  • 3D 모의수술로 식립경로 확보

    모의 수술을 통해 식립 위치, 깊이 등을
    세밀하게 체크

  • 디지털 네비게이션 시술

    3D 가이드를 이용하여 디지털 네비게이션으로
    정확하게 수술 진행


디지털 전체 임플란트가

좋은이유

  • 치료 비용 부담을 뚝!

    일반 전체 임플란트에 비해 적은 임플란트 시술로
    비용에 대한 부담감이 줄어듭니다.

  • 내 치아같은 자연스러움!

    고정형 인공치아로 일상생활에서
    내 치아같은 자연스러움을 느끼실 수 있습니다.

  • 흔들림에 대한 걱정은 그만!

    잇몸뼈와 인공치아를 연결하므로,
    내 입에 잘 고정되어 불안함이 없습니다.

  • 시술당일, 즉시 식사 가능!

    시술 후 임시치아를 바로 체결하여
    시술 당일, 즉시 일상생활리 가능합니다.


디지털 전체 임플란트는

무엇이 다른가요?

  • 기존
    틀니

    불안정적

    잇몸에 고정되지 않아
    음식을 먹거나 말할때
    흔들림이 있어 불안정


    불편함

    뻇다 껴아 하는
    내 치아 같지
    않은 불편함


    반영구적

    치아 뼈의 손실로
    시간이 갈수록
    틀니가 헐거워짐

  • 전체
    임플란트

    안정적

    잇몸뼈와 인공치아를
    연결하므로 내 입에
    잘 고정되어 안정적


    편안함

    고정적 인공치아로
    일상생활에서 내 치아같은
    자연스러움


    영구적

    치아뼈의 손실을 막아
    줌으로써 시간이 지나도
    흔들림 없이 유지


디지털 전체 임플란트

치료가 필요한 사람은?

  • 01

    틀니 사용에
    불편함을
    느끼시는
    분들

  • 02

    임플란트 치료 중
    잦은 내원이
    어려운 분들

  • 03

    당뇨, 혈압 등
    전신질환 환자 분

  • 04

    경제적인 부담을
    덜고자하는 분들

고난이도
임플란트 전문!

구강외과 전문의의 풍부한 경험과 노하우로
수술 정확도를 높입니다.

 Seoul Plant Dental Clinic